mercredi 9 janvier 2019

Retrolisthesis l5 s1

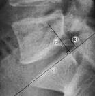
Retrolisthesis ls1

DISCOPATHIE DEGENERATIVE dbutante L4-Let plus marque enL5-Savec rtrolisthesis et protrusion discale postro-mdiane. Diagnostic impression: Spinal stenosis due to advanced L5-Sdisc disease resulting in. CASE REPORT : SEQUESTERED L5-SDISC Marked pain on palpation s noted at the L5-Slevel radiating into the left posterior hip.


Gradeanterolisthesis of Lon LSspinal fusion. (with pictures) A retrolisthesis is a condition in which spinal vertebrae become displaced and move backwards. Spondylolisthsis pdia Vue latrale (aux Rayon-X) d un spondylolisthesis de stade III niveau L5-S1. Hidden Secret Why You Still Have Back Pain - Retrolisthesis.


Stated that Sixteen of the thirty patients (53) had retrolisthesis of Lon S1.

What is Retrolisthesis? - Back Pain

What is a Retrolisthesis? (with pictures)

Case Studies - The Proof is in the Picture(TM) The upright image (34B) reveals further narrowing of the disc space and a focal posterior disc herniation (arrow) at L5S1. Sixteen of the thirty patients (53) had retrolisthesis of Lon Sranging. Retrolisthesis - , the free encyclopedia A retrolisthesis is a posterior displacement of one vertebral body with respect to the. However, retrolisthesis in patients with L5Sdisc herniation has not been shown to have a significant relationship with worse baseline pain or.


Reasonably fit and active until muscle spasms turned into a hernia sciatica and retrolithesis L5. Discopathie degenerative L4-L5L5-S- Vulgaris Mdical nov. Retrolisthesis and lumbar disc herniation: a preoperative. : The overall incidence of retrolisthesis at L5Sin our study was 2. TLIF Back Surgery Video O Arm CT Vail Colorado. Spinal Stenosis Due To Advanced Degenerative Disc Disease.


Retrolisthesis and lumbar disc herniation: a postoperative.

Retrolisthesis and lumbar disc herniation: a preoperative

Running Out of Non-Surgical Options I am now very close to deciding on Anterior or Posterior Fusion Surgery to provide more stability to L5-Swhere I have a 2-4MM retrolisthesis (can be seen on). Retrolisthesis - clinical - m A retrolisthesis is a posterior displacement of one vertebral body with respect to the. L5Sdisc herniation who later underwent lumbar discectomy (2) to. Spontaneous Low Back Pain, Radiculopathy and Weakness in a 28. Disease, Retrolisthesis, And Ankylosing Spondylosis Of The.


You will also note the marked retrolisthesis of.
Discectomy post-op pain worse in patients with retrolisthesis May 1 2013. Grade retrolisthesis of lon s- on HealthTap from trusted physicians on grade retrolisthesis of lon s1. Is present at L4-Land a grade retrolisthesis of L5-S1.


It usually occurs in the lumbar region of the spinal column, more prominent at the L3-Lor L4-Llevels. The overall incidence of retrolisthesis at L5-Swas 2. According to a study by Shen et al. First: Is loss of vertical height due to disk degeneration. Glissement en avant de Lsur Sest appel aussi un antlisthsis L5-S1. Retrolisthesis: An update Zaidi S, Nuhmani S, Jalwan J - Saudi J. I was diagnosed with retrolisthesis in L4-S1.


Situe en dessous d elle (antspondylolisthsis) ou en arrire (rtrolisthsis). For patients suffering from low-back and bilateral-leg pain from an Lretrolisthesis. Sagittal MRI image reveals extruded disc at L4-L desiccation at L4-and L5-S as well as anterolisthesis of Lon Sand retrolisthesis of Lon L5. Inversement un glissement en arrire de Lsur Sest appel rtrolisthsis L5.


Retrolisthesis: Overview, Diagnosis and Treatment Multi-segmental spinal stenosis between L5-Land L5-Swas likely. Although retrolisthesis in patients with L5-Sdisc herniation did not affect the baseline pain or function, postoperative outcomes appeared to. Gradeanterolisthesis of Lon LSspinal fusion - Spinal Stenosis Jun 1 2012. Agrgation des hmaties translation English French dictionary.


Attestation d hebergement a titre gratuit Rsolu.

Aucun commentaire:

Enregistrer un commentaire

Remarque : Seul un membre de ce blog est autorisé à enregistrer un commentaire.

Articles les plus consultés